feedzop-word-mark-logo
searchLogin
Feedzop
homeFor YouIndiaIndia
You
bookmarksYour BookmarkshashtagYour Topics
Trending
Terms of UsePrivacy PolicyAboutJobsPartner With Us

© 2026 Advergame Technologies Pvt. Ltd. ("ATPL"). Gamezop ® & Quizzop ® are registered trademarks of ATPL.

Gamezop is a plug-and-play gaming platform that any app or website can integrate to bring casual gaming for its users. Gamezop also operates Quizzop, a quizzing platform, that digital products can add as a trivia section.

Over 5,000 products from more than 70 countries have integrated Gamezop and Quizzop. These include Amazon, Samsung Internet, Snap, Tata Play, AccuWeather, Paytm, Gulf News, and Branch.

Games and trivia increase user engagement significantly within all kinds of apps and websites, besides opening a new stream of advertising revenue. Gamezop and Quizzop take 30 minutes to integrate and can be used for free: both by the products integrating them and end users

Increase ad revenue and engagement on your app / website with games, quizzes, astrology, and cricket content. Visit: business.gamezop.com

Property Code: 5571

Home / Health / Tumor vs. Cancer: Clearing the Medical Confusion

Tumor vs. Cancer: Clearing the Medical Confusion

8 Dec, 2025

•

Summary

  • Not all tumors are cancerous; some are harmless growths.
  • Cancer cells invade and spread, distinguishing them from benign tumors.
  • Accurate terminology is vital for patient understanding and care.
Tumor vs. Cancer: Clearing the Medical Confusion

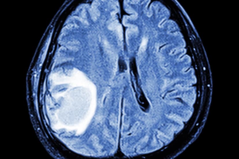
The distinction between a tumor and cancer is frequently misunderstood, leading to confusion among the public and even healthcare professionals. A tumor is any abnormal swelling, which can be benign (non-cancerous) or malignant (cancerous). Benign tumors, like lipomas, are often harmless, though some, such as uterine fibroids, can cause issues due to their location.

Cancer arises from genetic mutations that allow cells to grow unchecked and evade the body's defenses. Key characteristics of cancer include invasion of surrounding tissues and metastasis, or spreading to distant sites. While solid cancers often form masses, blood cancers like leukemia do not typically present as tumors.

Accurate communication is essential, as the terms 'tumor' and 'cancer' carry different implications for prognosis and treatment. Misusing these terms can lead to significant patient anxiety. Understanding whether a growth is benign or malignant, confirmed by pathology, dictates the urgency and complexity of management, which can range from simple removal to intensive therapies.

trending

Padma Awards: Unsung heroes honoured

trending

Mumbai Metro Line 11

trending

Border 2 box office success

trending

Australian Open Heat Suspends Play

trending

MPESB Police Answer Key 2026

trending

Arne Slot on Mo Salah

trending

BBL 2026 Qualifier prediction

trending

Man wins £79,000 Range Rover

trending

Samsung Galaxy S26 Ultra

Disclaimer: This story has been auto-aggregated and auto-summarised by a computer program. This story has not been edited or created by the Feedzop team.
A tumor is any abnormal swelling, which can be benign or malignant. Cancer refers specifically to malignant tumors where cells invade and can spread.
Yes, benign tumors like lipomas are typically harmless, though some can cause problems based on their location and size.
Using accurate terms like 'cancer' instead of euphemisms ensures patients understand the seriousness and implications for their health and treatment.

Read more news on

Healthside-arrow

You may also like

Cancer Survival Soars, But Gaps Persist

14 Jan • 75 reads

article image

New Therapy Turns Cancer's Allies Against It

11 Jan • 85 reads

article image

Young Woman's Shock Stage 4 Colon Cancer Diagnosis

12 Jan • 61 reads

article image

Cancer Treatment Timing Matters: Early Doses Boost Survival

23 Dec, 2025 • 155 reads

article image

King Shares Health Milestone: Cancer Treatment Reduced

13 Dec, 2025 • 213 reads

article image